Журнал: №3(84) Май 2017 (архив)
Рубрика: Мороженое
Автор: Антонина Творогова (д.т.н. ВНИХИ — филиал ФГБНУ «ФНЦ пищевые системы им.В.М.Горбатова» РАН), Я.В. Бабаджанян (ФГБО ВПО МГУПП), И.А. Гурский (ФГБО ВПО МГУПП), Т.В. Коновалова (магистр — ФГБНУ ВНИХИ)
Потребление мороженого на душу населения в нашей стране (около 2,5 кг) значительно отстает от развитых стран Европы и Америки (5-15 кг). В значительной степени этот факт определяет уровень жизни населения и связанную с этим культуру потребления продукта. В России по-прежнему преобладают импульсные покупки и потребление мороженого «на ходу». В странах с высоким уровнем жизни мороженое покупают для потребления дома или непосредственно в сети общественного питания (кафе, ресторанах и пр.).
Учитывая возможность температурных колебаний при хранении мороженого в домашних условиях и на предприятиях общественного питания, требования к составу мороженого должны быть особенные. Конечно, в таком мороженом изначально должна быть сформирована кремообразная консистенция, позволяющая формовать индивидуальные порции из крупной упаковки, а применяемые стабилизаторы должны предотвращать формирование крупных кристаллов льда, в том числе и при температурных колебаниях. Важна термоустойчивость продукта, в значительной степени определяемая деэмульгирующей способностью применяемых эмульгаторов.
При этом следует принимать во внимание, что пищевая ценность продуктов питания определяется качественным и количественным составом белков, жиров и углеводов. В мороженом основными источниками углеводов являются сахара. Их роль в этом продукте обусловлена влиянием как на пищевую ценность, так и на важные органолептические характеристики: вкус, консистенцию и состояние структуры [1].
В течение долгого времени свекловичный или тростниковый сахар были единственным сырьем в производстве мороженого среди углеводных компонентов и достигал в массе продукта 30-50%. Но со временем производители мороженого стали комбинировать или заменять сахарозу на различные сахаридосодержащие продукты, в основном глюкозу (декстрозу) и другие продукты переработки крахмала (глюкозные сиропы и патоку), а также инвертный сироп [2,3].
Главной целью замены сахарозы сахаросодержащими компонентами является целенаправленное влияние на консистенцию и структуру мороженого. Сахаридосодержащие продукты характеризуются различной молекулярной массой, следовательно, по-разному влияют на криоскопическую температуру смесей для мороженого и долю вымороженной воды в мороженом. Известно, чем меньше молекулярная масса сахаров, тем более низкой будет криоскопическая температура смеси и меньшей доля вымороженной воды при одной и той же температуре (табл. 1) [3, 4].

Таким образом, с учетом вышеизложенных подходов, очевидно, что для формирования кремообразной консистенции крупнофасованного мороженого необходимо дополнительно к сахарозе использовать сахаридосодержащие продукты с молекулярной массой меньшей, чем у сахарозы (глюкозу и фруктозу). Кроме того, принимая во внимание, что наиболее кремообразная консистенция формируется у мороженого пломбир, целесообразно регулировать консистенцию у этой разновидности продукта. Тем более, что для потребления в точках общественного питания наиболее пригоден премиальный сегмент мороженого, к которому относится пломбир.
При разработке композиционного состава следует учитывать то, что в производстве мороженого важно как можно больше выморозить влаги в процессе фризерования, поскольку от доли вымороженной воды во фризере в значительной степени зависит число центров кристаллизации воды, поскольку при дальнейшем замораживании новые центры не образуются и оставшаяся незамороженная вода кристаллизуется на уже существующих центрах. Оптимальной считается доля вымороженной влаги в традиционных видах мороженого 50%. При низких температурах в результате вымораживания воды сахароза существует в перенасыщенных растворах. Возникает опасность ее кристаллизации, что приводит к дополнительной кристаллизации влаги и нарушению структуры продукта. Комбинирование сахарозы с глюкозой, глюкозными сиропами и патокой снижает вероятность кристаллизации сахарозы [3].
При применении композиций сахарозы и моносахаридов, например глюкозы или фруктозы, молекулярная масса которых ниже молекулярной массы сахарозы, являющейся дисахаридом, криоскопическая температура понижается, а при использовании глюкозных сиропов и патоки для частичной замены сахарозы наоборот криоскопическая температура и доля вымороженной воды при одной и той же температуре повышаются. Это широко используется при целенаправленном регулировании консистенции и структуры мороженого.
В мелкофасованном мороженом твердость повышают за счет применения глюкозных сиропов и патоки, а в крупнофасованнном твердость снижают (с целью возможного порционного дозирования) путем применения глюкозы и инвертного сиропа [2].
При частичной замене сахарозы сахаридосодержащими продуктами следует учитывать их сладость относительно сладости сахарозы (табл. 2) [3,4].

Влияние сахаров различной молекулярной массы на консистенцию мороженого пломбир исследовано на экспериментальной базе ВНИХИ. Было изготовлено 3 образца мороженого пломбир:
В качестве эмульгатора использовалась композиция дистиллированных моноглицеридов и эфиров полиглицерина, стабилизаторов — композиция гидроколлоидов с доминированием камеди рожкового дерева.
Смеси экспериментальных образцов характеризовались сравнительно невысокой вязкостью, что положительно сказывается на процессе приготовления смеси на пластинчатых установках.
Исследуемые образцы характеризовались высокой способностью к насыщению воздухом. Взбитость 80-100% достигалась в условиях без принудительной подачи воздуха.
Отличительной особенностью образцов являлась высокая устойчивость к таянию, обусловленная сбалансированным влиянием химсостава и композиции стабилизаторов и эмульгаторов. Массовая доля плава в мороженом через 2 часа выдерживания не превышала в контрольном образце 2,5%, в образцах с глюкозой и глюкозным сиропом еще меньше, несмотря на различия в массовой доле жира (рис. 1).

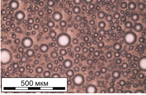
Состоянию кремообразной консистенции в мороженом пломбир способствовала высокая дисперсность воздушной фазы, при этом дисперсность в образцах с глюкозой и глюкозным сиропом была заметно выше, чем в образцах без их использования (рис. 2).
Рис.2 Состояние воздушной фазы в экспериментальных образцах мороженого

а) Мороженое пломбир с частичной замены сахарозы на глюкозу

б) Мороженое пломбир с частичной замены сахарозы на глюкозный сироп

в) Мороженое пломбир без замены сахарозы
Таким образом, проведенные исследования показывают, что для реализации мороженого в сети общественного питания целесообразно изготавливать мороженое пломбир с массовой долей жира 15% с заменой части сахарозы на глюкозу при использовании эффективной композиции эмульгаторов дистиллированных моноглицеридов и эфиров полиглицерина и стабилизаторов с доминированием камеди рожкового дерева.
Список использованной литературы:
1. Справочник по производству мороженого / Ю.А. Оленев и [др]. — М.: ДеЛи принт, 2004. — 798 с.
2. Технологическая инструкция по производству мороженого ТТИ ГОСТ31457 «Мороженое молочное, сливочное и пломбир».
3. Творогова А.А., Научные рекомендации по стабилизации структуры мороженого / А.А. Творогова//. — М. : Изд-во Россельхозакадемии. — 2003. — 46 с.
4. Творогова А.А. Применение ингредиентов в производстве мороженого, взбитых замороженных десертов и пищевых льдов // Монография «Пищевые ингредиенты в создании современных продуктов питания» под ред. Тутельяна В.А., Нечаева А.П.-М.:ДеЛи плюс, 2014 с. 412-432 (в книге 43,8 печ. Л.).
Журнал: №3(84) Май 2017 (архив)
Рубрика: Мороженое
Автор: Антонина Творогова (д.т.н. ВНИХИ — филиал ФГБНУ «ФНЦ пищевые системы им.В.М.Горбатова» РАН), Я.В. Бабаджанян (ФГБО ВПО МГУПП), И.А. Гурский (ФГБО ВПО МГУПП), Т.В. Коновалова (магистр — ФГБНУ ВНИХИ)